- 폐 무료 토토사이트 동물 모델 및 체외배양 환자 폐조직 분석 결과 발표
- 항무료 토토사이트화 유전자 TIF1γ, 간·신장에 이어 폐 무료 토토사이트화 치료 효과 확인
[헤럴드경제=김태열 건강의학 선임기자] 심각한 호흡장애를 초래할 수 있지만 마땅한 치료 방법이 없던 폐 무료 토토사이트의 새로운 치료 가능성이 제시됐다. 섬유화 억제 유전자 ‘TIF1γ’가 간경변·신장무료 토토사이트에 이어 폐 무료 토토사이트에서도 치료 효과를 보인다는 사실을 국내 연구진이 세계 최초로 규명해 ‘Molecular Therapy(IF;12)’에 게재했다.

폐 무료 토토사이트 악화 및 차단 기전
폐 무료 토토사이트은 폐 세포가 딱딱한 섬유조직으로 변화하는 난치성 호흡기 질환이다. 진행될수록 폐 기능이 떨어져 저산소증이 발생하며, 심각한 호흡장애로 이어질 수 있다. 그러나 한 번 섬유화된 폐 조직은 회복이 어렵고, 섬유화를 막을 방법이 존재하지 않아 치료에 한계가 있었다.
서울대병원 의생명연구원 김효수·이은주 교수(서울대 문도담 박사) 연구팀은 동물모델과 체외배양 환자 폐조직을 분석해 폐 무료 토토사이트의 유전자 치료 가능성을 확인했다고 2일 발표했다.
연구팀은 항섬유화 유전자 ‘TIF1γ’를 잠재적 치료제로 주목했다. 이 유전자는 연구팀의 기존 연구를 통해 간·콩팥에서 섬유화 억제 효과가 확인된 바 있으며, 실제 폐 무료 토토사이트 환자의 폐조직을 분석하자 TIF1γ 발현이 건강한 사람보다 현저히 낮아져 있었다.
이후 코돈 최적화로 발현을 극대화하고, 벡터 백본과 나노지질체를 적용해 임상 가능성을 높인 TIF1γ 유전자치료제를 폐 무료 토토사이트 동물 모델에 투여해 세포 변화를 확인했다.
그 결과, TIF1γ는 폐 무료 토토사이트 악화 기전(독소물질→대식세포 활성화→염증성 사이토카인 분비→폐상피세포(AT2)가 섬유모세포로 변화&섬유모세포 활성화)에 관여하는 세포를 복합적으로 조절해 섬유화를 억제하는 것으로 나타났다. 즉, TIF1γ 치료군의 폐에서는 대식세포가 억제돼 염증 사이토카인 분비가 감소했으며, 폐상피세포의 변화 및 섬유모세포의 섬유화 활성화를 촉진하는 TGF-β 신호도 차단됐다. 이는 섬유화 진행을 억제하여 폐 기능이 개선되는 결과로 이어졌다.

TIF1γ 유전자의 무료 토토사이트화 차단 기전
추가적으로 체외 배양한 인간 폐조직(PCLS) 실험에서도 TIF1γ 유전자치료제의 효과는 동일했다. 이 결과는 단일 유전자 치료만으로 폐 무료 토토사이트을 효과적으로 억제할 수 있음을 보여주며, 섬유화 질환에 대한 혁신적인 바이오치료제 개발 가능성을 제시한다고 연구팀은 설명했다.

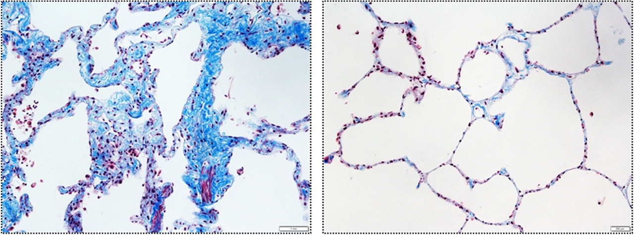
미세CT 기반 동물 폐조직 분석

체외배양 인간 폐 조직 분석
김효수 교수는 “현재 임상 적용이 가능한 고품질 TIF1γ 유전자 치료제를 완성하기 위해 GMP 공정 개발 단계를 수행 중”이며 “개발이 완료되면 안전성 평가 및 임상시험 진입을 모색하여 간경변증·콩팥무료 토토사이트·폐 무료 토토사이트 등 다양한 장기조직의 무료 토토사이트 치료에 사용할 수 있는 유전자 치료제로 개발하겠다”고 말했다.
![[사진 왼쪽부터] 서울대병원 의생명연구원 김효수·이은주 교수, 서울대 문도담 박사](https://wimg.heraldcorp.com/news/cms/2025/10/02/news-p.v1.20251002.5abb5d51c38349cd999f9957e4712135_P1.jpg)
[사진 왼쪽부터] 서울대병원 의생명연구원 김효수·이은주 교수, 서울대 문도담 박사
한편, 이번 연구는 보건복지부 및 한국보건산업진흥원 연구중심병원사업(HI14C1277)의 지원으로 수행됐다.
kty@heraldcorp.com